|
| |
|
| |
|
| |
 |
| |
|
| |
インプラント治療は人工歯根療法ともいわれ、 歯の抜けた部分の歯槽骨にチタン製の フィクスチャー(インプラント体)と呼ばれる人工歯根を埋入し、それにアバットメントと呼ばれる支台部(歯を直接支える部分)をネジで固定し、それに人工の歯を被せる治療法です。
|
| |
|
| |
チタンは長年の基礎的、臨床研究からインプラントの素材として最も安全であり、また顎の骨と結合することが確認されいます。インプラントと顎の骨がしっかりと結合( オッセオインテグレーション といいます)すれば、その上に丈夫で安定した歯を作ることが出来ます。
入れ歯では満足することが難しかった「食べる」・「話す」こともインプラント治療によりご自分の歯と同じような感覚を取り戻すことが出来るのです。
約 40 年の臨床実績を誇る科学的根拠に基づく正しいインプラント治療はとても成功率が高く、現在までに全世界の数百万人の方々が治療を受けています。
|
| |
|
| |
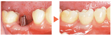
【インプラントを使用した症例】 |
| |
ブリッジにすると、健康な天然歯を削らなくてはなりませんし、支える天然歯に負担がかかります。インプラントを使用することにより、歯を削らなくてもよく、負担を減らせることができます。
|
| |
|
| |
|
| |
【インプラントにすると
】 |
| |
■まわりの歯が移動しません。
■自分の歯に悪影響を与えません。
■見た目が天然の歯に一番近いです。
■まわりの歯を削らなくてすみます。
■自分の歯のようにかめます。
■顎の骨も強くなります。
■治療後2ヶ月ぐらいで自然にかめるようになります。
■違和感や異物感がほとんどなくなります。
■味覚も変わりません。
|
| |
|
|
|